Записаться на приём
Записаться

Что такое ортодонтия и зачем исправлять прикус

Правильный прикус — это не только эстетика, но и здоровье: равномерное распределение нагрузки на зубы, отсутствие стираемости, комфорт при жевании и речи. Нарушения прикуса могут привести к головным болям, хрусту в челюсти, перегрузке отдельных зубов и проблемам десен.

Какие бывают дефекты прикуса

Прикус может быть глубоким, открытым, перекрестным, дистальным, мезиальным или с выраженной скученностью зубов. Каждый из этих вариантов требует индивидуального подхода ортодонта.

Методы исправления прикуса

Для лечения применяют съемные и несъемные конструкции: каппы, элайнеры, пластины, различные виды брекет-систем (металлические, керамические, лигатурные, безлигатурные, лингвальные, Damon). Метод подбирает врач исходя из возраста, анатомии и задач лечения.

Этапы ортодонтического лечения

  1. Диагностика. Анализ состояния зубов и определение необходимых снимков.

  2. Составление плана лечения. Повторная консультация, выбор системы (брекеты/элайнеры), согласование сроков и стоимости, снятие слепков.

  3. Санация полости рта. Профгигиена, лечение кариеса и подготовка к установке.

  4. Установка брекетов или элайнеров. Первый этап — выравнивание зубов (8–12 месяцев).

  5. Коррекция прикуса. Работа с межзубными пространствами (3–24 месяца).

  6. Ношение эластиков. Завершающая фаза фиксации результата (3–6 месяцев).

  7. Ретенционный период. Ношение ретейнеров несколько лет, чтобы закрепить результат.

Исправление прикуса у детей и взрослых

Современные методы позволяют эффективно корректировать прикус в любом возрасте. Съемные аппараты чаще применяются для детей, брекеты и элайнеры — универсальны и подходят всем.

Преимущества лечения брекетами

— Эффективная коррекция даже при сложных аномалиях.

— Подходит взрослым и детям.

— Без разрушения эмали.

— Боль минимальная — легкий дискомфорт проходит за несколько дней.

— Доступная стоимость при высокой эффективности.

Полный спектр услуг медицинской помощи

Передовая диагностическая база

Международные стандарты медицинской помощи

Высокая квалификация медицинского персонала

Гарантия соблюдения медицинских стандартов

Акции

Врачи

Ортопед-гнатолог, кандидат медицинских наук

Подробнее

1 000 ₽

Записаться
Стаж: 19 лет

Стоматолог, ортодонт, ортодонт-гнатолог

Подробнее

750 ₽

Записаться
Стаж: 4 года

Цены

Консультация ортодонта 1 500 ₽
Исправление прикуса 38 000 ₽
Капа для исправления прикуса 15 000 ₽
Съемные капы для прикуса 15 000 ₽
Исправление прикуса челюсти 38 000 ₽
Исправления прикуса зубов 38 000 ₽
Исправление прикуса у взрослых 38 000 ₽
Самолигирующие брекеты 38 000 ₽
Cамолигирующая брекет система 38 000 ₽
Cамолигирующие металлические брекеты 38 000 ₽
Невидимые брекеты 60 000 ₽
Брекеты для детей 38 000 ₽
Брекеты для подростков 38 000 ₽
Коррекция прикуса брекеты 38 000 ₽
Вестибулярные брекеты 38 000 ₽
Брекеты металлические 38 000 ₽
Брекеты керамические 38 000 ₽
Брекеты сапфировые 38 000 ₽

Первичная диагностика 1

Врач оценивает прикус, зубные ряды и назначает необходимые снимки перед началом лечения

План лечения 2

После снимков выбирается метод лечения, обсуждаются сроки, стоимость и снимаются слепки

Подготовка полости рта 3

Проводится профгигиена, лечение кариеса и подготовка зубов к установке системы

Установка системы 4

Фиксируются брекеты или элайнеры, начинается этап выравнивания зубов (8–12 месяцев)

Коррекция прикуса 5

Постепенно устраняется неправильный прикус и закрываются межзубные промежутки (3–24 месяца)

Ношение эластиков 6

Эластики помогают стабилизировать движение зубов и улучшить окклюзию (3–6 месяцев)

Ретенционный период 7

Ретейнеры удерживают зубы в новом положении и предотвращают их возврат назад

О услугах

Металлические брекеты
Лингвальные брекеты
Керамические брекеты
Лигатурные брекеты
Безлигатурные брекеты
Элайнеры

0 1 - Металлические брекеты

Надёжная классика: прочные, эффективные и подходящие даже для сложных клинических случаев.
Современные металлические брекеты — это проверенная временем система, которая гарантирует точные и прогнозируемые результаты. Они выдерживают серьёзные нагрузки, позволяют исправлять любые виды аномалий прикуса и отлично подходят пациентам, которым важна максимальная эффективность. Благодаря компактным размерам и усовершенствованной конструкции современные модели стали более комфортными в ношении.

0 2 - Лингвальные брекеты

Устанавливаются с внутренней стороны зубов и полностью незаметны при разговоре и улыбке.
Лингвальные системы — идеальное решение для тех, кто хочет абсолютно невидимое ортодонтическое лечение. Брекеты фиксируются на внутренней поверхности зубов, оставаясь скрытыми даже при близком общении. Они работают не менее эффективно, чем классические системы, однако требуют высокой квалификации врача и индивидуального изготовления каждого элемента.

0 3 - Керамические брекеты

Эстетичный вариант: почти сливаются с зубами, сохраняя эффективность металлических систем.
Керамические брекеты создаются из высокопрочного композитного материала телесного или молочного оттенка. На зубах выглядят максимально естественно и незаметно. Это отличный выбор для пациентов, которым важен аккуратный внешний вид в период лечения. При этом керамика сохраняет высокую точность коррекции и не окрашивается в процессе ношения.

0 4 - Лигатурные брекеты

Традиционная конструкция с фиксацией дуги с помощью лигатур — точная и предсказуемая коррекция.
Лигатурные системы используют небольшие резинки или металлические фиксаторы (лигатуры), которыми удерживается дуга. Благодаря этому врач получает возможность более тонко управлять движением каждого зуба. Такие брекеты подходят для сложных клинических задач и обеспечивают стабильный, контролируемый результат.

0 5 - Безлигатурные брекеты

Обеспечивают более лёгкое скольжение дуги и сокращают время визитов к ортодонту.
В безлигатурных (самолигирующих) брекетах дуга фиксируется в специальном замке без использования резинок. Это снижает трение, уменьшает дискомфорт и помогает ускорить этапы выравнивания зубов. Пациенты отмечают более комфортное привыкание, а визиты к врачу становятся короче и реже.

0 6 - Элайнеры

Прозрачные каппы для комфортного и незаметного выравнивания зубов в любом возрасте.
Элайнеры — современная альтернатива брекетам. Набор прозрачных капп мягко и постепенно перемещает зубы в нужное положение. Они почти невидимы, легко снимаются при приёме пищи и чистке, не мешают речи и подходят даже тем, кто ведёт активный образ жизни или работает в публичной сфере. Лечение проходит комфортно, а результат — предсказуем и контролируем с помощью цифрового моделирования.

До/после

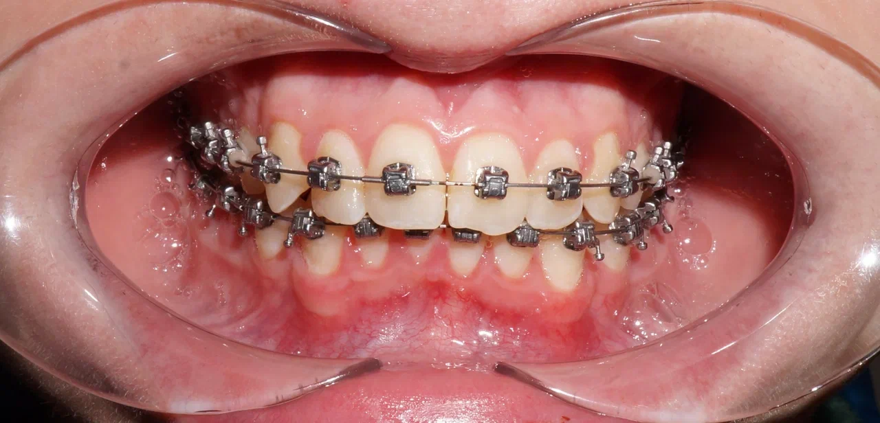
Оказываемая услуга:
Видимый результат уже через несколько месяцев

Врач: Юдинцева Ангелина Сергеевна

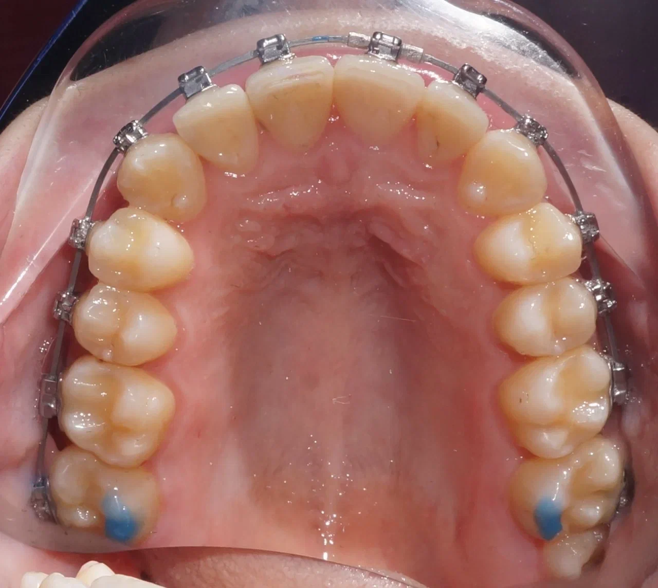
Оказываемая услуга:
Профессиональное ортодонтическое лечение

Врач: Юдинцева Ангелина Сергеевна

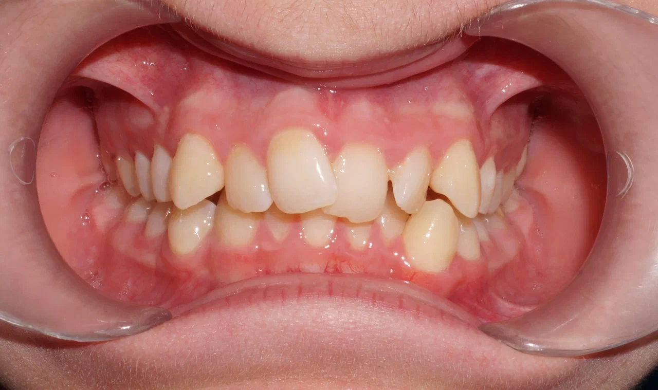
Оказываемая услуга:
Коррекция прикуса брекетами ребенка 9 лет

Врач: Яковенко Наталья Игоревна

Остались вопросы?

Свяжитесь с нами и наши специалисты
проконсультируют Вас по всем вопросам

Записаться